Conozca los Servicios de Ident3D.
Radiografías y Tomografias Odontológicas
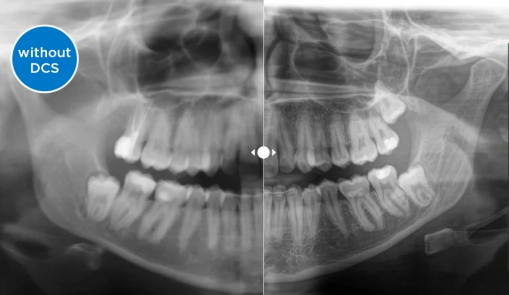
IMÁGENES RADIOGRÁFICAS MÁS NÍTIDAS QUE NUNCA !!! Nuevo Sensor de conversión directa (Direct Conversion Sensor, DCS):
El sensor de conversión directa (DCS) ha revolucionado el estándar de la radiología panorámica. Los rayos X se convierten directamente en señales eléctricas. Por lo tanto, no hay pérdida de señal debido a la conversión de la luz, como ocurre con los sistemas convencionales. El resultado: imágenes con un alto nivel de nitidez y contraste, incluso con una dosis de radiación extremadamente baja. Para obtener información para hacer un diagnóstico preciso, que respalde el tratamiento dirigido.
La siguiente imagen muestra una radiografía panorámica sin y con tecnología DCS. Con la flecha, arrastra el control por la imagen para ver la diferencia que supone el sensor de conversión directa en cuanto a la calidad de la imagen y las posibilidades de diagnóstico.


Nuestro equipo radiológico/tomográfico : SIRONA AXEOS MODELO 2024
https://www.dentsplysirona.com/es-es/descubrir/descubrir-por-marca/axeos.html






